R. Pedro Rodrigues Beja, 37 - Vila Joaniza,
São Paulo - SP, 04403-300
Endereço

(11) 94777-7023

(11) 5621-6174
"O Dr. Hilário é um profissional formado há 20 anos, com vasta experiência em clínica geral e atendimento a todas as especialidades odontológicas. Ele é especialista em implantes dentários e reabilitação oral, realizando implantes tanto unitários quanto múltiplos. Além disso, o Dr. Hilário tem ênfase em reabilitação total com os protocolos de Branemark, proporcionando aos seus pacientes um tratamento de alta qualidade e resultados satisfatórios."
É indicado para qualquer pessoa que tenha perdido um ou mais dentes e sentem dificuldades em consumir certos alimentos por dificuldade de mastigação, fonação e estética.
QUANDO DEVO FAZER A INSTALAÇÃO DE UM IMPLANTES?

PRÓTESE INSTALADA


IMPLANTE INSTALADO
Os implantes dentários são dispositivos de titânio utilizados para substituir a raiz do dente e sustentar próteses, melhorando a estética e a função de mastigação. São recomendados para pacientes com perda parcial, total ou unitária de dentes. A ilustração abaixo compara a estrutura de um dente natural com uma prótese sobre implante.
O QUE É UM
IMPLANTE?


A instalação de implantes dentários é menos dolorosa do que a remoção de um dente. O procedimento é realizado sob anestesia local, garantindo que o paciente não sinta desconforto. Além disso, os cuidados pós-operatórios são relativamente simples e tranquilos.
Implante Dentário dói?
A idade ideal para a instalação de implantes dentários varia de acordo com a saúde bucal, crescimento ósseo e necessidades individuais. Geralmente, são mais recomendados para adultos após os 18 anos, após o término do crescimento facial. No entanto, é essencial uma avaliação individualizada por um especialista.
Existe idade ideal para instalação de implantes?
Ter diabetes ou hipertensão não é necessariamente uma contraindicação para a realização de implantes dentários, desde que essas condições estejam sob controle. O fundamental é realizar uma avaliação completa do histórico médico e uma análise individual de cada caso para garantir segurança durante o procedimento.
Tenho Diabetes, Hipertensão, posso realizar instalação de implantes?
A viabilidade dos implantes dentários depende da qualidade e quantidade de osso disponível no local de instalação. No entanto, se estiver usando medicamentos como Bifosfonatos, Alendronatos ou Prolia para tratar a osteoporose, procedimentos cirúrgicos nos ossos da face são desaconselhados devido ao alto risco de osteonecrose e perda do implante.
Tenho osteoporose, posso realizar implantes?
Dúvidas Frequentes
Durante a cirurgia, o dentista faz uma incisão na gengiva para acessar o osso e inserir o pino de titânio. Após isso, uma tampa de proteção é colocada e os pontos são feitos. Algumas vezes, é necessário que o paciente descanse por alguns dias para se recuperar.
Como é o processo de implante de dente?


TRATAMENTO DE CANAL
A viabilidade dos implantes varia conforme cada caso. Em algumas situações, é possível realizar implantes com carga imediata, permitindo ao paciente sair com um dente provisório. Em outros casos, é necessário aguardar de 4 a 6 meses para que ocorra a osseointegração antes de colocar a prótese definitiva.
Quanto tempo para instalação da prótese?


LENTES E FACETAS
Durante o processo de osseointegração, não será necessário ficar sem dentes, pois uma prótese provisória será feita para aguardar esse período.
Vou ficar sem dentes no período de ósseo integração?

HARMONIZAÇÃO FACIAL

EXTRAÇÃO DE 3º MOLARES (SISO)





.jpg)
Radiografia de implante instalados






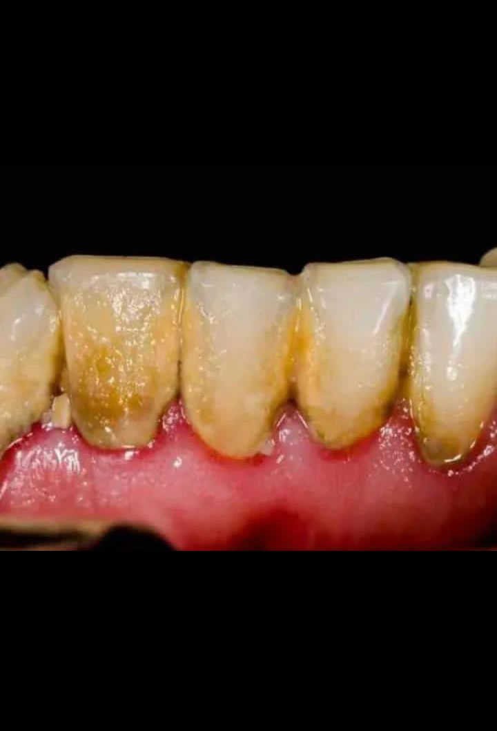
Tratamento Periodontal






Tratamento Periodontal
Implantes oferecem uma aparência natural, pois se assemelham aos dentes naturais.
Estética
Restauram a capacidade de mastigação e fala, melhorando a qualidade de vida.
Funcionalidade
Implantes são projetados para serem duradouros e podem durar muitos anos com os devidos cuidados.
Durabilidade
Não afetam os dentes adjacentes, preservando a saúde deles.
Saúde bucal
Quais as vantagens de
um implante dentário?
Melhoram a autoconfiança, pois permitem sorrir e falar com segurança.
Autoestima
São confortáveis e não causam desconforto como dentaduras.
Conforto
Cuidar de implantes é semelhante ao cuidado com dentes naturais.
Facilidade de manutenção





